症例紹介
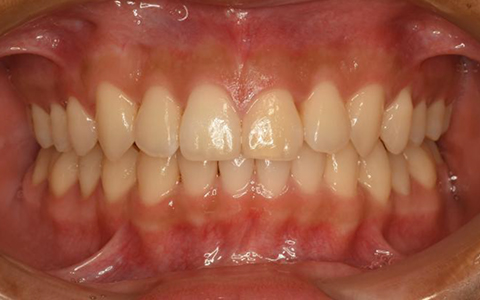
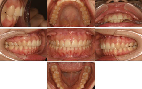
症例1 叢生
Before
After
| 年齢・性別 | 34才・女性 |
|---|---|
| 治療内容 | マウスピースによる矯正治療 |
| 治療期間 | 1年10か月 |
| 費用の目安 | 77万+調整料 |
| リスク・副作用 | ・歯科医師や歯科衛生士からの指示が守れない場合は、治療期間の延長や希望通りの効果が得られない場合があります。 ・規定の装着を行ったとしても、かみ合わせや歯周組織の状態などにより、予測通りの歯の動きが達成されない場合があります。 ・治療途中において口腔内衛生状況によっては、むし歯や歯周疾患を引き起こすことがあります。 ・vアライナーの使用によって、まれに顎関節に問題が生じる場合があります。 ・アライナーによって歯肉・頬・唇・舌に擦り傷や痛みを生じる場合があります。 ・アライナーの装着により、一時的に話しづらいなど発音に問題が出る場合があります。 ・修復処置や補綴処置がなされている歯は、歯の移動にともない再処置が必要になる場合があります。 ・歯の移動によって、歯肉の退縮や三角空隙が生じる場合があります。 ・歯の移動によって、歯根が短くなる場合があります。 ・動かした歯は、治療終了後に、また元の状態に戻ろうとする傾向にあります。それを減ずるために保定装置を用います。 |
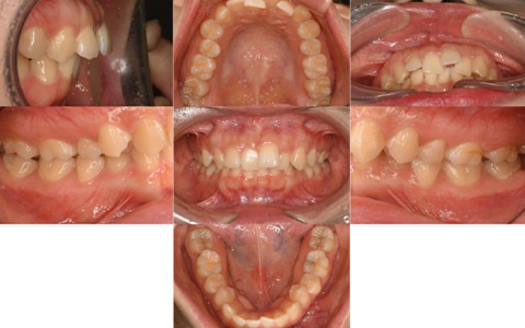
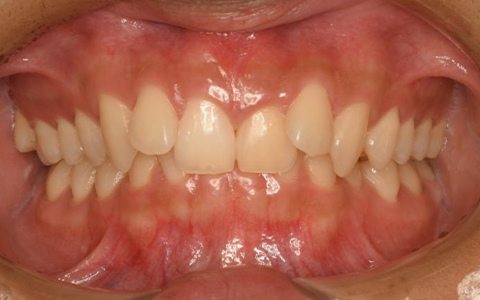
症例2 過蓋咬合
Before
After
| 年齢・性別 | 19才・男性 |
|---|---|
| 治療内容 | マウスピースによる矯正治療 |
| 治療期間 | 1年 |
| 費用の目安 | 77万+調整料 |
| リスク・副作用 | ・歯科医師や歯科衛生士からの指示が守れない場合は、治療期間の延長や希望通りの効果が得られない場合があります。 ・規定の装着を行ったとしても、かみ合わせや歯周組織の状態などにより、予測通りの歯の動きが達成されない場合があります。 ・治療途中において口腔内衛生状況によっては、むし歯や歯周疾患を引き起こすことがあります。 ・vアライナーの使用によって、まれに顎関節に問題が生じる場合があります。 ・アライナーによって歯肉・頬・唇・舌に擦り傷や痛みを生じる場合があります。 ・アライナーの装着により、一時的に話しづらいなど発音に問題が出る場合があります。 ・修復処置や補綴処置がなされている歯は、歯の移動にともない再処置が必要になる場合があります。 ・歯の移動によって、歯肉の退縮や三角空隙が生じる場合があります。 ・歯の移動によって、歯根が短くなる場合があります。 ・動かした歯は、治療終了後に、また元の状態に戻ろうとする傾向にあります。それを減ずるために保定装置を用います。 |